Understanding Teeth Whitening in Utah
Teeth whitening in Utah has become increasingly popular, and for good reason. A brighter smile can significantly boost your confidence and improve your overall appearance. But before diving into the various methods, it’s crucial to understand the basics of teeth discoloration and what causes it. This knowledge will empower you to make informed decisions about the best teeth whitening options for your specific needs. The goal is not just to achieve a brighter smile, but to understand the process and maintain the results for the long term. In Utah, numerous dental professionals and cosmetic clinics offer a range of teeth whitening services, making it easier than ever to achieve the smile you’ve always dreamed of.
What Causes Tooth Discoloration?
Tooth discoloration can occur for a variety of reasons, often stemming from a combination of factors. Understanding these causes is the first step in preventing and treating stained teeth. Discoloration can be categorized into two main types extrinsic and intrinsic. Extrinsic stains affect the surface of the enamel, while intrinsic stains occur within the tooth structure. Both types of stains can impact the overall brightness of your smile. Identifying the root cause is essential in determining the most effective teeth whitening treatment.
Common Stains and Their Sources

Many external factors can stain your teeth. These stains result from the accumulation of colored substances on the tooth surface. Tobacco use, for instance, is a major culprit, with nicotine and tar leaving yellow or brown stains. Poor oral hygiene allows plaque and tartar to build up, leading to discoloration. Certain bacteria also produce pigments that can stain teeth. Regular brushing, flossing, and professional dental cleanings are key to removing these surface stains.
Foods and Drinks That Stain Teeth
Your diet plays a significant role in the color of your teeth. Some foods and drinks contain chromogens, which are pigment-producing substances that can stick to tooth enamel. Coffee, tea, and red wine are notorious for staining teeth, as are dark-colored sodas and fruit juices. Highly pigmented fruits like berries and certain spices like turmeric can also contribute to discoloration. Limiting the consumption of these items or practicing good oral hygiene after consuming them can help minimize staining. Consider using a straw to reduce contact with your teeth when drinking staining beverages.
Why Choose Teeth Whitening?
Teeth whitening offers more than just cosmetic benefits. A brighter smile can significantly boost your self-esteem and confidence. It can make you feel more comfortable in social situations and improve your overall self-image. Beyond the aesthetic advantages, teeth whitening can motivate you to maintain good oral hygiene habits. Seeing immediate results often encourages people to take better care of their teeth, leading to healthier gums and teeth. Teeth whitening is a relatively quick and easy procedure that can have a profound impact on your life.
Boosting Confidence with a Brighter Smile

The impact of a bright smile on your confidence is substantial. A whiter smile can make you feel more attractive and approachable, allowing you to feel more comfortable in social and professional settings. When you’re confident about your smile, you’re more likely to smile often, which can improve your mood and the mood of those around you. A brighter smile conveys a sense of vitality and health, often leaving a lasting positive impression.
Benefits Beyond Aesthetics
While the cosmetic benefits are clear, teeth whitening can also encourage better oral hygiene practices. Seeing the results of teeth whitening can inspire you to maintain a consistent brushing and flossing routine. This, in turn, leads to healthier gums and teeth, preventing potential dental issues down the road. A commitment to maintaining a white smile can also motivate you to schedule regular dental check-ups and cleanings, ensuring your teeth remain healthy and bright for years to come.
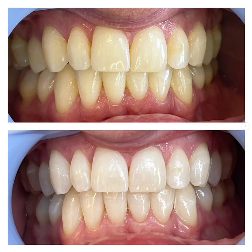
Types of Teeth Whitening in Utah
Utah residents have access to a range of teeth whitening options, both in-office and at-home. The best choice for you will depend on your budget, the degree of staining, and your desired results. Understanding the various methods available will help you make an informed decision and achieve the radiant smile you desire. In-office treatments provide immediate results, while take-home kits offer more flexibility. Careful consideration of each option is key.
Professional Teeth Whitening Options

Professional teeth whitening offers several advantages, including faster results and stronger whitening agents. These procedures are performed by trained dental professionals, ensuring safety and effectiveness. In-office treatments can provide immediate and dramatic results, ideal for those seeking a quick solution. Take-home kits, prescribed and monitored by your dentist, offer a balance of convenience and professional-grade whitening.
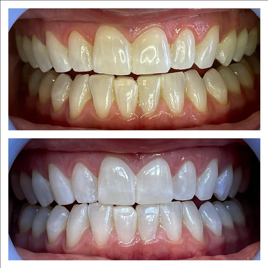
In-Office Whitening Procedures
In-office teeth whitening typically involves a high concentration of hydrogen peroxide or carbamide peroxide gel. The dentist applies the whitening agent directly to your teeth and may use a special light to activate and accelerate the whitening process. The entire procedure usually takes about an hour and can result in several shades of improvement. This option is ideal for those who want immediate results and are willing to invest in a professional treatment. The dentist also ensures that your gums are protected during the procedure.
Take-Home Whitening Kits
Take-home whitening kits offer a more flexible approach. Your dentist will create custom-fitted trays to ensure the whitening gel fits snugly against your teeth, maximizing effectiveness and minimizing gum irritation. You apply the gel to the trays and wear them for a specified amount of time each day or night, as directed by your dentist. This method allows you to whiten your teeth at your convenience and achieve gradual, noticeable results. Your dentist will monitor your progress and provide guidance throughout the process.
DIY Teeth Whitening Methods

For those seeking more affordable options, DIY teeth whitening methods are available. These include over-the-counter whitening toothpastes, mouthwashes, and strips. While these methods may not provide the same dramatic results as professional treatments, they can help to remove surface stains and slightly brighten your smile. It’s important to manage your expectations and read reviews. Natural remedies also exist, but their effectiveness can vary, and it’s important to use them with caution.
Whitening Toothpastes and Mouthwashes
Whitening toothpastes and mouthwashes contain mild abrasives and whitening agents that help to remove surface stains. They are a convenient and affordable option for maintaining a brighter smile. However, they are less effective at changing the intrinsic color of your teeth. When selecting these products, choose those that have the American Dental Association (ADA) seal of approval. Remember that these products are designed for daily maintenance and are not a substitute for professional whitening treatments.
Natural Remedies for Teeth Whitening
Some people explore natural remedies like baking soda, activated charcoal, or coconut oil pulling for teeth whitening. Baking soda acts as a mild abrasive and can help to remove surface stains. Activated charcoal is believed to absorb stains, but scientific evidence is limited. Coconut oil pulling is thought to reduce bacteria and improve oral health. It’s important to approach these remedies with caution and consult with your dentist before trying them, as they may not be as effective or could potentially cause damage.
Choosing the Right Teeth Whitening Method

The best teeth whitening method for you depends on several factors, including your oral health, budget, and desired results. Consider these elements carefully before making a decision. A consultation with a dentist is highly recommended to determine the most appropriate treatment plan. Your dentist can assess your teeth, discuss your expectations, and offer personalized advice. The information below will help you navigate the process.
Factors to Consider
Several factors influence the decision-making process. Your overall oral health is a crucial consideration. Individuals with existing dental issues such as cavities or gum disease may need to address these problems before whitening their teeth. The extent of staining also plays a role, with more severe cases potentially requiring professional treatments. Finally, think about your budget and how much you’re willing to invest in teeth whitening. Compare different treatment options, including professional and DIY methods, considering both cost and potential results.
Your Oral Health
Before undergoing any teeth whitening procedure, your dentist should evaluate your oral health. Addressing any existing dental issues is essential to avoid complications. Teeth whitening is generally safe, but it may not be suitable for everyone. For example, people with sensitive teeth or gum recession might experience discomfort. Discussing your medical history and any medications with your dentist is important to determine the safest and most effective whitening method.
Your Budget

Teeth whitening costs vary depending on the method you choose. Professional treatments, such as in-office whitening, are generally more expensive than DIY options. Take-home kits are typically less costly than in-office procedures but more expensive than over-the-counter products. Establish your budget beforehand and research different providers in Utah to compare prices. Consider the long-term value and results of each option, as well as the ongoing maintenance costs.
Expected Results
The degree of whitening varies depending on the chosen method, the type of stains, and your individual tooth structure. In-office whitening often provides the most dramatic results, with several shades of improvement. Take-home kits offer gradual whitening over a few weeks, while over-the-counter products may produce subtle changes. Realistic expectations are essential. Discuss your desired outcomes with your dentist to determine the most suitable whitening option and set achievable goals. Remember that results are not permanent, and maintenance is required.
Maintaining Your White Smile
Once you’ve achieved a brighter smile through teeth whitening, it’s important to maintain the results. This involves good oral hygiene practices, avoiding staining foods and drinks, and scheduling regular dental check-ups and cleanings. Proper care and attention will help you preserve your beautiful, white teeth for an extended period. Consistent care ensures the longevity of the whitening treatment and contributes to overall oral health. Making these habits part of your routine can help to protect your investment.
Post-Whitening Care
Following post-whitening care instructions is essential to maximize and maintain your results. Your dentist will provide you with specific guidelines, which may include avoiding certain foods and drinks for a period after the procedure. It’s important to practice good oral hygiene, including brushing and flossing regularly. If you used a take-home whitening kit, be sure to follow your dentist’s recommendations for future maintenance. Using a whitening toothpaste can help maintain your smile between treatments.
Avoiding Staining Foods and Drinks
To prolong the effects of teeth whitening, limit your consumption of staining foods and drinks. This includes coffee, tea, red wine, dark-colored sodas, and berries. If you do consume these items, rinse your mouth with water immediately afterward or brush your teeth. Using a straw when drinking can also help minimize contact with your teeth. Consider incorporating a regular teeth-cleaning routine after any meals or beverages.
Regular Dental Check-ups and Cleanings
Schedule regular dental check-ups and cleanings to maintain your bright smile and overall oral health. During these visits, your dentist can remove any surface stains and assess your teeth’s condition. Professional cleanings not only remove plaque and tartar but also help to keep your teeth white. Your dentist may also recommend touch-up whitening treatments periodically. Regular dental care is essential for preventing future discoloration and other dental problems.
