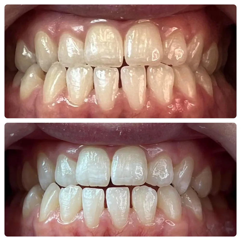
What is Teeth Whitening?
Teeth whitening is a cosmetic dental procedure designed to lighten the color of your teeth. This process can remove stains and discoloration caused by factors such as aging, certain foods and drinks (like coffee, tea, and red wine), smoking, and even certain medications. The goal of teeth whitening is to give you a brighter, more youthful, and more confident smile. It involves the use of bleaching agents, usually containing hydrogen peroxide or carbamide peroxide, to break down the stain molecules within the tooth enamel. The effectiveness of the treatment can vary depending on the type of stains and the individual’s tooth structure. It’s a popular cosmetic procedure because it can significantly improve your appearance with relatively quick and noticeable results.
Types of Teeth Whitening
There are primarily two main categories of teeth whitening methods in Joliet IL: in-office whitening and at-home whitening kits. Each method has its advantages and disadvantages, and the best option for you will depend on your individual needs, the severity of the staining, and your budget. In-office whitening, performed by a dental professional, typically offers faster results and a higher concentration of bleaching agents. At-home kits, which include custom-fitted trays or over-the-counter strips, are more convenient and affordable but may take longer to achieve the desired results. Understanding the differences between these two types of treatments is essential to making an informed decision and achieving the best possible outcome for a brighter, whiter smile. It’s always recommended to consult with a dentist to determine the most suitable option for your unique dental situation.
In-Office Whitening

In-office teeth whitening in Joliet, IL, is a professional procedure performed by a dentist in their clinic. This method uses a high concentration of bleaching agents, typically hydrogen peroxide, which allows for significant whitening in a single session. The dentist will apply a protective barrier to your gums and lips before applying the whitening solution to your teeth. A special light or laser may then be used to accelerate the bleaching process. In-office whitening offers immediate results, often lightening teeth several shades in about an hour. This option is ideal for those seeking a quick and dramatic improvement in their smile. However, it is generally more expensive than at-home treatments. The procedure’s effectiveness and safety are ensured by a dental professional, making it a reliable choice for many.
At-Home Whitening Kits
At-home teeth whitening kits provide a more convenient and cost-effective alternative to in-office treatments. These kits typically include custom-fitted trays or pre-filled strips containing a lower concentration of bleaching agents. Custom trays, made by your dentist after taking impressions of your teeth, offer a more precise fit, ensuring better contact between the whitening agent and your teeth. Over-the-counter strips are readily available and easy to use, but they may not provide as consistent results as custom trays. The process usually involves wearing the trays or applying the strips for a specified amount of time each day for several weeks. While at-home kits take longer to produce noticeable results compared to in-office whitening, they can still effectively lighten your teeth and are a popular choice for maintaining results or addressing mild to moderate staining. Always follow the instructions carefully to ensure safety and efficacy.
Teeth Whitening Joliet IL Top 5 Secrets
Secret 1 Schedule a Consultation

Before beginning any teeth whitening treatment in Joliet IL, the first secret is to schedule a consultation with a qualified dentist. During this consultation, the dentist will assess the health of your teeth and gums to ensure you are a good candidate for whitening. They will examine your teeth for cavities, gum disease, and other dental issues that could complicate the whitening process. The dentist will also discuss your goals and expectations, helping you understand what results are realistic and which whitening method would best suit your needs. This consultation is an essential step in ensuring the safety and effectiveness of your teeth whitening treatment, as the dentist can provide personalized advice and recommendations based on your unique oral health situation. It also allows you to discuss any concerns you may have and ask questions about the procedure.
Secret 2 Professional Cleaning
Another key secret to successful teeth whitening in Joliet IL is to have a professional cleaning before you start the whitening process. A dental cleaning removes plaque, tartar, and surface stains that can prevent the whitening agent from effectively penetrating your enamel. This ensures that the whitening treatment can reach the underlying stains and achieve optimal results. The cleaning also gives your dentist the opportunity to identify any potential issues, such as cavities or gum disease, that need to be addressed before whitening. A clean, healthy mouth provides the best foundation for teeth whitening, and by removing surface debris, your teeth will whiten more evenly. This step contributes to the overall effectiveness and longevity of your teeth whitening treatment.
Secret 3 Whitening Options
Explore the various teeth whitening options available in Joliet, IL. This includes in-office whitening, which offers immediate results with a dentist-administered treatment, and at-home whitening kits, which provide a more convenient and cost-effective approach. At-home options include custom trays prescribed by your dentist and over-the-counter strips or gels. The best option for you will depend on your budget, the severity of your staining, and your time commitment. Discussing the different methods with your dentist will help you decide which approach aligns best with your goals and dental health. Considering factors like tooth sensitivity, potential for uneven whitening, and the maintenance required for each method will ensure you make an informed decision and achieve the desired results. Choosing the right whitening option is critical to the success of your treatment.
Secret 4 Follow Aftercare Instructions

Adhering to aftercare instructions is crucial for maintaining your newly whitened smile in Joliet, IL. After whitening, your teeth are more susceptible to staining, so avoiding foods and drinks that can stain your teeth, such as coffee, tea, red wine, and dark berries, is essential. Rinsing your mouth with water after consuming these items can also help minimize staining. Additionally, it’s important to maintain good oral hygiene practices, including brushing twice a day with a whitening toothpaste, flossing daily, and attending regular dental check-ups. Your dentist may also recommend touch-up treatments to help maintain the results of your whitening procedure. Following these instructions will help ensure your bright smile lasts and remains healthy over time. Proper care helps to prevent future discoloration and protects the investment in your teeth whitening treatment.
Secret 5 Maintain Your Results
Maintaining your teeth whitening results involves a combination of good oral hygiene, regular dental check-ups, and avoiding stain-causing foods and drinks. Regular brushing and flossing are essential to remove plaque and prevent new stains from forming. Using a whitening toothpaste can also help maintain brightness. Periodic touch-up treatments, as recommended by your dentist in Joliet, IL, can help keep your teeth looking their best. Avoiding tobacco products and limiting consumption of staining substances like coffee, tea, and red wine can significantly prolong the effects of your whitening procedure. By staying proactive with your dental care and following your dentist’s guidance, you can enjoy a dazzling smile for years to come. Regular dental visits are vital, enabling your dentist to address any issues promptly and provide tailored advice to keep your teeth bright and healthy.
Benefits of Teeth Whitening
Boosts Confidence

One of the primary benefits of teeth whitening is a significant boost in confidence. A brighter, whiter smile can have a profound effect on how you feel about yourself. When you’re happy with your smile, you’re more likely to smile more often, which can make you appear more approachable and friendly. This increased confidence can extend to both your personal and professional life, as you may feel more comfortable in social situations, during interviews, and in public speaking. Studies have shown that people with brighter smiles are often perceived as more successful, trustworthy, and attractive. The psychological impact of a beautiful smile can be substantial, helping you feel more positive and self-assured in your daily interactions. A simple cosmetic procedure like teeth whitening can have a considerable influence on your overall well-being.
Improves Appearance
Teeth whitening significantly improves your overall appearance by enhancing the aesthetic appeal of your smile. Stained or discolored teeth can detract from your facial features and make you look older. Whitening can reverse these effects, providing a more youthful and vibrant appearance. A brighter smile creates a more polished and healthy look, instantly improving your overall attractiveness. It is a relatively simple and non-invasive procedure that can make a significant difference in your overall appearance, making it a worthwhile investment for many. The enhanced appearance that results from teeth whitening can also contribute to a better self-image and a more positive outlook on life. A beautiful smile is often associated with good health and vitality, thus providing a lasting positive impact on your image.
Makes You Look Younger
Teeth whitening can make you look younger. As we age, our teeth naturally darken due to wear and tear, along with the accumulation of stains from various foods, drinks, and lifestyle habits. Teeth whitening reverses this process by lightening the enamel, giving the appearance of a more youthful smile. A bright, white smile is often associated with youthfulness and vitality. Whitening your teeth can take years off your appearance, making you look more refreshed and revitalized. The overall effect is a noticeable improvement in your facial aesthetics. It’s a quick and effective way to enhance your look without undergoing more extensive cosmetic procedures. This rejuvenation effect contributes to a better overall impression, making you look and feel more youthful.
