Understanding Teeth Whitening ABQ
Teeth whitening in Albuquerque (ABQ) has become a popular cosmetic dental procedure for those looking to enhance their smiles. Many people seek a brighter, more confident appearance, and teeth whitening offers a relatively quick and effective solution. The process involves removing stains and discoloration from the teeth, resulting in a visibly whiter smile. This guide will explore everything you need to know about teeth whitening options available in ABQ, from understanding the basics to finding the right dental professional. Whether you’re considering in-office treatments or at-home solutions, this quick guide will provide valuable insights to help you make informed decisions and achieve the radiant smile you desire. It is crucial to understand the various procedures, expected outcomes, and aftercare to get the best possible results.
What is Teeth Whitening?
Teeth whitening is a cosmetic dental procedure designed to lighten the shade of your teeth. Over time, teeth can become discolored due to various factors, including aging, genetics, diet, and lifestyle choices like smoking. Whitening treatments use bleaching agents, typically hydrogen peroxide or carbamide peroxide, to break down stains and brighten the enamel. The effectiveness of the treatment depends on the type of stains, the concentration of the bleaching agent, and the duration of the treatment. The goal of teeth whitening is to remove both intrinsic (internal) and extrinsic (external) stains, leading to a more youthful and appealing smile. It is important to consult with a dentist to determine the most suitable whitening method based on your specific dental health and aesthetic goals.
Types of Teeth Whitening Procedures

There are several types of teeth whitening procedures available in ABQ, each with its own advantages and suitability depending on individual needs and preferences. These procedures can be broadly categorized into in-office treatments performed by a dentist and at-home options, which can be supervised by a dentist or self-administered. The choice between these methods often depends on factors like the desired level of whitening, the time commitment, and the budget. Understanding the different procedures is key to making an informed decision that aligns with your expectations and ensures the best possible outcome for a brighter, healthier smile. Always consult with a dental professional to determine which option best suits your specific needs and oral health condition.
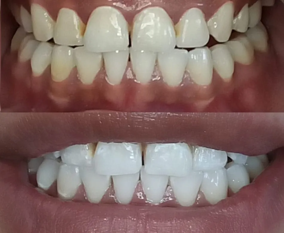
In-Office Teeth Whitening
In-office teeth whitening, also known as professional teeth whitening, offers the most immediate results. Performed by a dental professional in ABQ, this procedure typically involves the application of a high-concentration bleaching agent to the teeth, which is often activated by a special light or laser to accelerate the whitening process. The entire procedure usually takes about an hour to complete, and patients can see a significant improvement in the shade of their teeth in a single visit. This method is ideal for those seeking dramatic results quickly. Before the treatment, the dentist will assess your oral health to ensure you are a suitable candidate and will take steps to protect your gums and soft tissues from the bleaching agent. After the procedure, you may experience some tooth sensitivity, but this usually subsides within a few days. The image shows a satisfied patient after the procedure.
At-Home Teeth Whitening
At-home teeth whitening provides a convenient and more affordable alternative to in-office treatments. There are several at-home options available in ABQ, including custom-fitted trays provided by your dentist and over-the-counter products such as whitening strips, toothpastes, and mouthwashes. Your dentist can create custom trays that fit your teeth precisely, ensuring the bleaching agent is evenly distributed and reducing the risk of gum irritation. Over-the-counter products are readily available but may contain lower concentrations of the bleaching agent, resulting in slower but often gentler results. It’s essential to follow the product instructions carefully and consult with your dentist before starting any at-home whitening treatment, especially if you have sensitive teeth or other dental concerns. The image presents some examples of different at-home kits.
ABQ Teeth Whitening Procedure

The process of teeth whitening in ABQ involves several steps, starting with an initial consultation and evaluation by a dentist. The procedure itself can vary depending on whether you choose in-office or at-home treatments. Understanding the steps involved will help you prepare for the procedure and know what to expect. Knowing the process will help you feel more comfortable and confident throughout your whitening journey, ensuring that you can achieve the best possible outcome for your smile. It is important to follow your dentist’s instructions to ensure both safety and effectiveness.
Initial Consultation
The initial consultation is a crucial step in the teeth whitening process. Your ABQ dentist will conduct a thorough examination of your teeth and gums to assess your oral health. This includes checking for cavities, gum disease, and any existing dental work, such as fillings or crowns. The dentist will discuss your goals and expectations for teeth whitening, evaluate the type and severity of your tooth discoloration, and recommend the most suitable whitening treatment. During this consultation, you can also ask questions, discuss the cost of the procedure, and learn about the potential risks and benefits. This is an opportunity for you to make an informed decision and set realistic expectations for the treatment outcome. This image shows a consultation session.
The Whitening Process
If you opt for in-office whitening, the dentist will prepare your teeth by cleaning them and protecting your gums with a protective barrier. The whitening agent, typically a high-concentration hydrogen peroxide solution, is then applied to your teeth. A special light or laser might be used to activate the whitening agent and accelerate the process. The treatment usually involves several 15-20 minute sessions. For at-home whitening, your dentist may provide custom-fitted trays or recommend over-the-counter products. You’ll be instructed on how to apply the whitening agent and the duration of treatment, which can vary depending on the product. The key is to follow the instructions carefully to achieve the desired results and avoid any potential side effects. The image illustrates the whitening process in a dentist’s office.
Post-Treatment Care

After teeth whitening, it is essential to follow your dentist’s post-treatment care instructions to maintain your results and prevent future discoloration. This includes avoiding foods and drinks that can stain your teeth, such as coffee, tea, red wine, and dark-colored berries, for at least the first few days after treatment. It is also advisable to stop smoking, as tobacco use can lead to rapid staining of the teeth. Maintaining good oral hygiene is also vital; this includes brushing twice a day, flossing daily, and using a fluoride-containing toothpaste. Regular dental checkups and cleanings are important for maintaining your bright smile and addressing any potential dental issues. Always consult your dentist if you experience any unusual symptoms.
Finding the Right ABQ Dentist
Choosing the right dentist for teeth whitening in ABQ is crucial for achieving optimal results and ensuring a safe and comfortable experience. It’s important to find a dentist who is experienced in cosmetic dentistry and has a good reputation in the community. Consider factors such as the dentist’s qualifications, the types of teeth whitening procedures they offer, and the overall cost of treatment. By doing your research, you can make an informed decision and find a dentist who meets your needs and can help you achieve the beautiful, bright smile you desire. This is essential not only for the effectiveness of the procedure but also for your overall dental health.
Researching Dentists
Start your search for an ABQ dentist by researching local dental practices online. Look for dentists who specialize in cosmetic dentistry and have experience with teeth whitening procedures. Visit their websites to learn more about their services, view before-and-after photos of their patients, and read any patient testimonials. Check their credentials and see if they are members of professional organizations like the American Dental Association. Consider the location of the practice, the office hours, and whether they offer convenient appointment scheduling. Take advantage of free initial consultations to meet with potential dentists and discuss your needs. By doing thorough research, you can narrow down your options and find a dentist who is right for you.
Reading Reviews and Testimonials

Reading reviews and testimonials from other patients is a valuable way to assess a dentist’s reputation and the quality of their services. Check websites like Google Reviews, Yelp, and Healthgrades for feedback from patients who have undergone teeth whitening procedures. Pay attention to comments about the dentist’s professionalism, the effectiveness of the treatment, the comfort of the office environment, and the overall patient experience. Positive reviews and testimonials can provide confidence in your choice, while negative feedback can alert you to potential issues. Consider both the quantity and quality of the reviews and look for common themes. Remember that individual experiences may vary, but a pattern of positive reviews can indicate a reliable and skilled dentist. This is especially important if you are unfamiliar with the dentist or practice.
Cost and Payment Options
The cost of teeth whitening in ABQ can vary depending on the type of treatment, the dentist’s fees, and any additional services included. In-office whitening is generally more expensive than at-home options. Before undergoing treatment, it’s important to discuss the cost with your dentist and understand the payment options available. Many dental practices offer various financing options, payment plans, or accept insurance. Inquire about any potential hidden costs, such as the cost of the initial consultation or follow-up appointments. Ask if the dentist offers any discounts or special promotions. Comparing the costs and payment options of different dental practices can help you find a treatment that fits your budget. Always get a written estimate before starting any dental procedure.
Maintaining Your White Smile
Maintaining your bright, white smile after teeth whitening requires a commitment to good oral hygiene practices and lifestyle choices. Proper care ensures that your results last as long as possible, allowing you to enjoy your new smile for years to come. This involves both at-home care and regular visits to your dentist. By following these guidelines, you can significantly extend the life of your whitening treatment and prevent your teeth from becoming discolored again. This includes the use of proper techniques, regular appointments, and avoiding certain foods and habits.
Oral Hygiene Practices

Good oral hygiene practices are essential for maintaining your white smile. Brush your teeth at least twice a day for two minutes each time, using a soft-bristled toothbrush and fluoride toothpaste. Floss daily to remove plaque and food particles from between your teeth, where a toothbrush cannot reach. Consider using an antibacterial mouthwash to further reduce bacteria and freshen your breath. Regular dental checkups and professional cleanings are also vital for maintaining oral health and removing any surface stains. Your dentist can also provide guidance on proper brushing and flossing techniques. Consistent oral hygiene habits not only keep your teeth white but also help prevent cavities, gum disease, and other dental problems.
Avoiding Staining Foods and Drinks
Certain foods and drinks can stain your teeth and diminish the effects of teeth whitening. To maintain your bright smile, limit your consumption of these items. Coffee, tea, red wine, and dark-colored sodas are major culprits. Berries, such as blueberries and strawberries, as well as other highly pigmented foods like soy sauce and balsamic vinegar, can also contribute to staining. If you consume staining foods or drinks, rinse your mouth with water immediately afterward or brush your teeth after a meal. The image shows some examples of the foods to avoid. Avoiding these foods and beverages, or consuming them in moderation, will help preserve your results.
Regular Dental Checkups
Regular dental checkups and professional cleanings are crucial for maintaining your white smile and overall oral health. During these appointments, your dentist will examine your teeth and gums for any signs of problems, such as cavities or gum disease. They will also professionally clean your teeth to remove plaque and tartar buildup, which can cause discoloration. Your dentist might also recommend touch-up whitening treatments to maintain your desired shade. Regular checkups also provide an opportunity for you to ask questions and receive personalized advice on how to best care for your teeth and gums. These checkups are a proactive step toward preventing issues and ensuring your smile stays bright and healthy. This image features a patient during a dental checkup.
