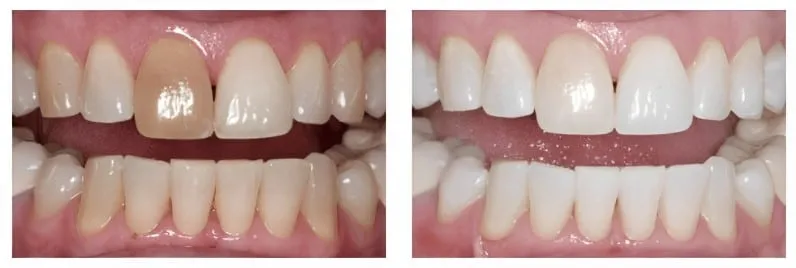
What is Teeth Whitening?
Teeth whitening is a cosmetic dental procedure designed to lighten the shade of your teeth, making them appear brighter and more youthful. It works by removing stains and discoloration that can accumulate over time due to various factors, including the foods and drinks you consume, your lifestyle habits, and even the natural aging process. The primary goal is to enhance the aesthetic appeal of your smile, boosting your confidence and overall appearance. The process involves the use of whitening agents, which are typically peroxide-based, to penetrate the enamel and break down stain molecules. Whether you’re looking to remove years of coffee stains, or simply want a more radiant smile for a special occasion, teeth whitening offers a relatively simple and effective solution. There are several different methods available, each with its own set of benefits and considerations, so it’s important to understand your options and choose the one that best suits your needs.
Understanding Teeth Whitening Options
When it comes to teeth whitening, you’re presented with a variety of choices, each offering a different approach and level of intensity. These options can be broadly categorized into in-office treatments, at-home kits, and over-the-counter products. Each method utilizes different concentrations of whitening agents and requires varying amounts of time and effort. Professional in-office procedures typically yield the most dramatic and immediate results, while at-home kits and over-the-counter products offer more convenience and are generally less expensive. Understanding the differences between these options is crucial to making an informed decision about which method is right for you, based on your budget, the extent of discoloration, and the level of brightness you desire. The best option often depends on your personal preferences and the guidance of your dentist. Consulting with a dental professional can help you understand your options and make an educated decision.
In-Office Teeth Whitening

In-office teeth whitening, also known as professional teeth whitening, is a procedure performed by a dentist in their clinic. This method typically involves the application of a high-concentration hydrogen peroxide gel to the teeth, which is then activated by a special light or laser. The entire process usually takes about an hour, and you can often see a significant improvement in the brightness of your teeth in a single session. The high concentration of the whitening agent and the professional application ensures that the process is carried out safely and effectively, minimizing the risk of gum irritation or other complications. Your dentist will also take precautions to protect your gums and soft tissues during the procedure. In-office whitening is often the most effective way to achieve dramatic and immediate results, making it a popular choice for individuals who want a quick and significant improvement in their smile.
How the Process Works
The in-office teeth whitening process usually starts with a consultation and examination by your dentist, to assess the condition of your teeth and determine if you are a suitable candidate for the procedure. During the treatment, your dentist will isolate your teeth, protecting your gums and lips with a special barrier. A high-concentration whitening gel is then applied to the surface of your teeth. To accelerate the whitening process, a special light or laser may be used. This light activates the peroxide, helping it to break down stain molecules more efficiently. The gel is typically left on your teeth for a set amount of time, and the process might be repeated a few times during the session to achieve the desired level of brightness. Finally, your dentist will remove the gel, and you can enjoy your newly whitened smile. Your dentist may provide you with aftercare instructions to maintain your results.
Benefits of In-Office Whitening
One of the main advantages of in-office teeth whitening is the speed and efficiency. You can typically see noticeable results in a single appointment, saving you time and effort. The high concentration of the whitening agent used in the procedure is also more effective at removing stubborn stains and discoloration compared to at-home options. Professional teeth whitening is performed under the supervision of a dentist, ensuring the safety and health of your teeth and gums. Your dentist can also address any potential sensitivity issues and make recommendations for post-treatment care. The immediate, dramatic results can provide a significant boost in confidence, and you can enjoy a brighter, more radiant smile right away. This method is also a good option for individuals who want a professional touch and are looking for a quick, effective way to enhance their smile.
Things to Consider

While in-office teeth whitening offers several advantages, there are some things to keep in mind. The cost of in-office procedures can be higher than at-home methods, and the results are not always permanent. It’s also important to consider that some individuals may experience temporary tooth sensitivity after the procedure. However, your dentist can provide recommendations to alleviate this issue. It’s important to be realistic about the results. In-office whitening is most effective on teeth with surface stains and discoloration, but may not be as effective on teeth with intrinsic stains, such as those caused by medications or genetic factors. Your dentist can assess your individual case and advise you on the best course of action. Before deciding on in-office whitening, it is wise to discuss the potential risks, benefits, and alternatives with your dentist.
At-Home Teeth Whitening Kits
At-home teeth whitening kits provide a convenient and often more affordable alternative to in-office procedures. These kits typically include custom-fitted trays or strips that are designed to be worn over your teeth. The kits contain a whitening agent, such as hydrogen peroxide or carbamide peroxide, which is applied to the trays or strips and placed on your teeth for a set period of time each day. At-home kits are typically less potent than in-office treatments, so it may take several weeks to see the desired results. They allow you to whiten your teeth in the comfort of your own home, fitting into your schedule more easily. However, it’s important to follow the instructions carefully and consult with your dentist before starting any at-home whitening treatment.
Types of At-Home Kits
At-home teeth whitening kits come in a variety of forms to suit different preferences and budgets. One popular option is the custom-fitted tray system, where your dentist takes impressions of your teeth and creates custom trays that perfectly fit your mouth. You then apply the whitening gel to these trays and wear them for a specified time each day. Whitening strips are another convenient option, which are thin, flexible strips coated with a whitening agent that you apply directly to your teeth. These strips are readily available over-the-counter and are often an affordable choice. Whitening pens are also available, which allow you to apply the whitening agent directly to your teeth, providing a targeted approach. Your dentist can help you choose the best kit that suits your needs and offers guidance on how to use it safely and effectively.
Effectiveness and Safety

At-home teeth whitening kits can be effective in lightening the shade of your teeth, but the results may vary depending on the type of kit, the concentration of the whitening agent, and the severity of your stains. The safety of at-home kits largely depends on how well you follow the instructions and guidelines provided by the manufacturer and your dentist. Common side effects can include temporary tooth sensitivity or gum irritation. You should always consult with your dentist before using an at-home whitening kit, as they can assess your oral health and recommend the best option. It is also vital to follow the recommended usage time and avoid overuse, which can increase the risk of sensitivity and other complications. Always choose products from reputable brands and follow the instructions to ensure your safety and the best possible outcome.
Tips for Choosing a Kit
When choosing an at-home teeth whitening kit, consider your specific needs and the level of whitening you desire. If you want a more personalized approach, custom-fitted trays from your dentist might be the best option. For convenience and affordability, whitening strips are a good choice. Ensure that the kit you select is from a reputable brand and that it contains the appropriate concentration of whitening agent for your needs. Read reviews and testimonials from other users, and consult your dentist to make sure the kit is suitable for your oral health. Pay attention to the instructions, especially regarding the application time and frequency. Keep an eye out for any side effects, such as tooth sensitivity or gum irritation, and consult your dentist if you have any concerns. Be patient and realistic about the results, as at-home whitening can take some time to achieve the desired brightness.
Over-the-Counter Options
Over-the-counter (OTC) teeth whitening products offer a readily accessible and affordable option for improving the brightness of your smile. These products are available in drugstores and supermarkets, making them easily accessible to consumers. The most common types of OTC whitening products include whitening toothpastes, whitening strips, and whitening rinses. These products usually contain lower concentrations of whitening agents than professional treatments, so they tend to provide more subtle results over time. OTC options can be a good choice for individuals seeking to remove surface stains or maintain the results of professional teeth whitening. However, it’s important to be aware of their limitations and potential risks and to use them as directed.
Whitening Toothpastes and Rinses

Whitening toothpastes and rinses are commonly used OTC products that can help to remove surface stains and improve the overall brightness of your teeth. Whitening toothpastes often contain mild abrasives or special ingredients that can help to polish the teeth and remove stains caused by coffee, tea, or other foods and drinks. Some whitening toothpastes also contain low concentrations of peroxide. Whitening rinses may contain ingredients such as hydrogen peroxide or other chemicals that help to whiten teeth. These products are generally used as part of your regular oral hygiene routine, and the results are typically gradual. The effectiveness of whitening toothpastes and rinses depends on the type of stains, the ingredients in the product, and your consistent use of the product.
Effectiveness of OTC Products
The effectiveness of OTC teeth whitening products varies depending on the product and the nature of the stains. Whitening toothpastes and rinses are most effective in removing surface stains and preventing new stains from forming. Whitening strips may provide more noticeable results, as they typically contain a slightly higher concentration of whitening agent. However, the results are often less dramatic than those achieved with professional treatments. It is important to note that OTC products may not be effective on intrinsic stains, such as those caused by medication or trauma. Overuse of these products can potentially lead to tooth sensitivity and gum irritation. Always read and follow the instructions carefully. Consult with your dentist if you have any questions or concerns about using OTC teeth whitening products. OTC products are best used for maintenance and minor stain removal, rather than dramatic transformations.
Maintaining Your White Smile
Once you achieve your desired level of whiteness, maintaining your bright smile requires a proactive approach. This involves adopting good oral hygiene habits, being mindful of the foods and drinks you consume, and scheduling regular dental checkups. Proper oral care helps to prevent the build-up of new stains and keeps your teeth looking their best for longer. Maintaining your white smile is an ongoing process that requires consistency and commitment.
Best Practices for Aftercare

To maintain your white smile, establish a consistent oral hygiene routine. Brush your teeth at least twice a day with a fluoride toothpaste and floss daily. Using a whitening toothpaste can help to remove surface stains. Rinse your mouth with water or a whitening mouthwash after consuming stain-causing foods or drinks. Avoid smoking or using tobacco products, as these can significantly stain your teeth. Schedule regular dental checkups and cleanings to remove any plaque or tartar and keep your teeth healthy and bright. Follow your dentist’s specific instructions for aftercare. It is essential to keep up with these habits and maintaining your oral hygiene.
Foods and Drinks to Avoid
Certain foods and drinks are known to stain teeth and should be consumed in moderation or avoided altogether to maintain your bright smile. Coffee, tea, red wine, and dark sodas are notorious for causing stains. Berries, such as blueberries, blackberries, and cherries, contain pigments that can also discolor teeth. Tomato-based sauces, soy sauce, and curries are other culprits. If you choose to consume these items, rinse your mouth with water immediately afterward to help reduce staining. Consider using a straw when drinking beverages that can stain your teeth, to minimize contact with your teeth. Practicing moderation and being mindful of your dietary choices can significantly contribute to maintaining your white smile.
Finding a Dentist in Milwaukee
If you’re in Milwaukee and considering teeth whitening, choosing the right dentist is essential to achieving the best possible results. The dentist you select will play a vital role in ensuring your comfort, safety, and satisfaction with the procedure. Researching dentists and clinics, reading reviews, and gathering recommendations are all important steps in the process. Take the time to find a dentist who meets your needs, has a good reputation, and is experienced in cosmetic dentistry. Doing the right research will help to ensure your experience is positive.
Researching Dentists and Clinics

To find a dentist in Milwaukee, start by asking for recommendations from friends, family, or colleagues who have had positive experiences with teeth whitening. Search online for local dental clinics and review their websites. Look for dentists who specialize in cosmetic dentistry or have specific experience with teeth whitening procedures. Review the clinic’s services, the dentist’s credentials, and the technology used. Consider the clinic’s location, hours, and payment options to ensure they align with your needs and preferences. Once you’ve narrowed down your list, you should also check online reviews, and make sure you check their website for credentials and certifications. It is always important to make sure they have the appropriate credentials.
Reading Reviews and Testimonials
Online reviews and testimonials from previous patients can provide valuable insights into a dentist’s reputation and the quality of their services. Read reviews on websites such as Google, Yelp, or other trusted platforms to get an understanding of the experiences of other patients. Pay attention to recurring themes, both positive and negative, to get a more complete picture of the dentist’s practice. Look for reviews that mention the dentist’s expertise, the friendliness of the staff, and the overall patient experience. Be wary of extremely positive or extremely negative reviews, and look for a balance of opinions. Also, visit the clinic’s website and social media pages to view any patient testimonials or before-and-after photos. Reading the reviews will give you a better understanding before you go to the consultation.
