Understanding Teeth Whitening
Teeth whitening is a popular cosmetic dental procedure designed to lighten the shade of your teeth and improve your smile. It works by removing stains and discoloration that accumulate over time. Various methods are available, ranging from over-the-counter products to professional treatments. Understanding the causes of teeth discoloration and the different whitening options is crucial for achieving the best results and maintaining a bright, healthy smile. The process can significantly boost your confidence and improve your overall oral health.
What Causes Teeth Discoloration
Teeth discoloration can stem from both internal and external factors. External stains affect the surface of the enamel, while internal stains are embedded within the tooth structure. Understanding these causes helps in selecting the most appropriate whitening method. Many lifestyle and dietary habits contribute to this. By identifying these factors, individuals can take proactive steps to minimize staining and preserve their teeth’s natural brightness.
Foods and Drinks

Certain foods and drinks are notorious for staining teeth. Coffee, tea, red wine, and dark-colored sodas contain chromogens, which are color pigments that adhere to tooth enamel. Berries, soy sauce, and curries can also contribute to discoloration. Regular consumption of these items can lead to gradual staining and dulling of the teeth. Minimizing intake or practicing good oral hygiene after consumption can help mitigate their effects. Using a straw can also help limit contact of staining beverages with the teeth.
Lifestyle Choices
Smoking and tobacco use are significant contributors to tooth discoloration. Nicotine and tar leave yellow and brown stains that are difficult to remove. Poor oral hygiene, including infrequent brushing and flossing, allows stains to accumulate and worsen over time. Additionally, certain medications, such as tetracycline, can cause internal staining, particularly in developing teeth. Regular dental check-ups and professional cleanings are essential for addressing these issues and maintaining a healthy, bright smile.
Types of Teeth Whitening
Several teeth whitening options are available, catering to different budgets and needs. These range from readily accessible over-the-counter products to professional treatments administered by dentists. Each method has its advantages and disadvantages, and the best choice depends on individual preferences and the severity of the discoloration. Understanding the different types of whitening treatments allows for informed decisions and personalized treatment plans. It’s recommended to consult a dentist to determine the most suitable approach for achieving the desired results.
Over-the-Counter Options

Over-the-counter (OTC) whitening products are convenient and affordable. They are a popular choice for those seeking to brighten their smiles at home. These products typically contain lower concentrations of bleaching agents compared to professional treatments, making them safer for unsupervised use. While OTC options may not produce the same dramatic results as professional procedures, they can effectively lighten teeth and improve their appearance over time. Consistency in use is key to achieving desired outcomes.
Whitening Toothpastes and Rinses
Whitening toothpastes and mouth rinses are readily available and easy to incorporate into daily oral hygiene routines. They work by removing surface stains and preventing new ones from forming. These products often contain mild abrasives or chemical agents, such as hydrogen peroxide, to help whiten teeth. While they are effective for removing minor stains, they may not significantly alter the intrinsic color of teeth. Using whitening toothpastes and rinses as part of a comprehensive oral hygiene routine can contribute to a brighter smile.
Whitening Strips and Trays
Whitening strips and pre-filled trays offer more concentrated bleaching agents than toothpastes and rinses. Whitening strips are thin, flexible strips coated with a whitening gel that adheres directly to the teeth. Pre-filled trays, on the other hand, are custom-fit trays that hold the whitening gel in place. Both methods typically require daily use for a specified period to achieve noticeable results. These products are generally more effective than toothpastes and rinses, making them a popular choice for at-home whitening. Following the instructions carefully is crucial to prevent adverse effects.
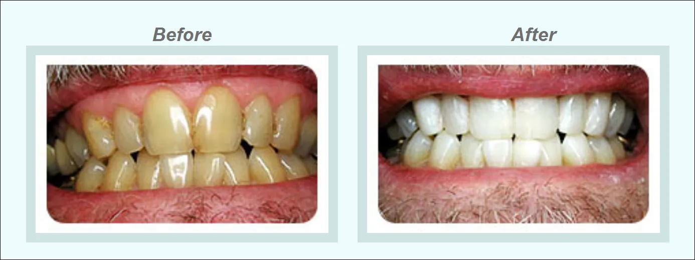
Professional Teeth Whitening

Professional teeth whitening treatments are performed by dentists and offer the most dramatic and effective results. These treatments use higher concentrations of bleaching agents than OTC products and are often combined with specialized techniques to enhance whitening. Professional treatments provide faster and more significant results. Consulting with a dentist is essential before undergoing any professional whitening procedure to ensure it is safe and suitable for the individual’s oral health. This also allows for personalized treatment plans and management of potential side effects.
In-Office Whitening
In-office whitening involves a dentist applying a strong bleaching agent directly to the teeth. The process is usually completed in a single appointment and can provide immediate and noticeable results. The dentist may also use a special light or laser to accelerate the whitening process. This method offers controlled application and monitoring, minimizing risks. In-office treatments are ideal for those seeking rapid and significant improvements in the color of their teeth. The dentist will also provide instructions for post-treatment care to maintain the results.
At-Home Whitening Kits
At-home whitening kits prescribed by a dentist offer a balance between professional treatment and convenience. These kits typically involve custom-fitted trays and a higher concentration of bleaching gel than OTC products. The dentist monitors the progress and provides guidance to ensure safety and effectiveness. At-home kits are more potent than over-the-counter options but allow for whitening at the patient’s convenience. This approach provides a more controlled whitening process, reducing the risk of sensitivity and other side effects. Regular follow-up appointments with the dentist are essential.
The Teeth Whitening Process

The teeth whitening process, whether performed at home or in a dental office, generally follows a series of steps to ensure safety and effectiveness. A thorough consultation with a dentist is crucial to assess oral health and determine the most suitable whitening method. Preparation and adherence to the dentist’s instructions are essential for optimal results. Understanding the different stages of the process helps individuals prepare for the treatment and manage expectations.
Consultation and Examination
Before any teeth whitening procedure, a dentist will conduct a comprehensive examination of your teeth and gums. This includes checking for cavities, gum disease, and other dental issues that need to be addressed before whitening. The dentist will also discuss your goals, expectations, and medical history to determine the most appropriate treatment plan. This initial consultation ensures that teeth whitening is a safe and effective option for you and helps manage any potential risks. The dentist may take photos of your teeth before whitening to track the progress and assess the results.
Preparation for Whitening
Depending on the chosen whitening method, specific preparations may be required. For professional treatments, the dentist will clean your teeth to remove any plaque or debris. If using at-home kits, custom-fitted trays will be created to ensure even application of the whitening gel. For individuals with sensitive teeth, the dentist may recommend using a desensitizing toothpaste for a few weeks before whitening. Following these preparatory steps helps to optimize the whitening process and reduce potential side effects, such as sensitivity.
The Whitening Procedure

During in-office whitening, the dentist will apply a bleaching agent to your teeth, protecting your gums. A special light or laser may be used to enhance the whitening effect. For at-home kits, you will apply the whitening gel to the custom-fitted trays and wear them for a specified amount of time, as directed by your dentist. The duration of the procedure varies depending on the chosen method and the desired outcome. The dentist will provide detailed instructions on how to use the products and what to expect during and after the treatment.
Aftercare and Maintenance
Proper aftercare is essential for maintaining the results of teeth whitening. Following the dentist’s instructions, avoiding certain foods and drinks, and practicing good oral hygiene are key to preserving your bright smile. Regular dental checkups and professional cleanings also play a crucial role in maintaining long-term results. Understanding the importance of aftercare helps to maximize the benefits of teeth whitening and prevent the recurrence of stains. This commitment to oral health ensures a lasting, radiant smile.
Tips for Maintaining a White Smile
To maintain your newly whitened smile, it’s important to adopt habits that minimize the risk of staining. This includes brushing and flossing regularly, avoiding or minimizing the consumption of staining foods and drinks, and scheduling regular dental checkups. Using a whitening toothpaste or mouthwash can also help to maintain brightness. By incorporating these practices into your daily routine, you can enjoy your brighter smile for a longer period. These efforts will also contribute to overall oral health.
Foods to Avoid

Certain foods and drinks can re-stain teeth after whitening. Limiting consumption of coffee, tea, red wine, and dark-colored sodas can help maintain your bright smile. Foods with strong pigments, such as berries, soy sauce, and curries, should also be consumed in moderation. Rinsing your mouth with water after consuming these items can help prevent stains. Being mindful of your diet helps preserve the results and avoids unnecessary discoloration. Choosing lighter-colored alternatives can also make a difference.
Regular Dental Checkups
Regular dental checkups and professional cleanings are vital for maintaining oral health and the results of teeth whitening. Your dentist can identify and address any new stains or other dental issues. Professional cleanings remove plaque and tartar, which can contribute to discoloration. Routine checkups also help monitor the overall health of your teeth and gums. Scheduling these appointments every six months ensures that your smile remains bright and healthy for years to come. Your dentist can offer personalized advice and additional whitening treatments if needed.
Potential Risks and Side Effects
While teeth whitening is generally safe, it can have potential risks and side effects. Understanding these can help you make informed decisions and manage any issues that may arise. The most common side effects include sensitivity and gum irritation. However, these are usually temporary and can be managed with appropriate measures. Consulting with a dentist is essential to discuss any concerns and determine if whitening is suitable for your individual needs. Knowing the potential risks will enable you to prepare and respond appropriately.
Sensitivity

Tooth sensitivity is a common side effect of teeth whitening. This occurs because the bleaching agents can temporarily open the pores in the enamel, allowing for increased sensitivity to hot and cold temperatures. This discomfort is usually mild and temporary, resolving within a few days after the treatment. Using a desensitizing toothpaste before, during, and after whitening can help minimize sensitivity. Your dentist may also recommend fluoride treatments to strengthen your enamel. Informing your dentist about any sensitivity is important so they can adjust the treatment accordingly.
Gum Irritation
Gum irritation can occur if the whitening agent comes into contact with the gums. This can manifest as redness, swelling, or soreness. This is usually caused by improper application or using trays that do not fit properly. Dentists take precautions during professional treatments to protect the gums. With at-home treatments, following instructions carefully and using trays that fit snugly is important. If irritation occurs, stop the treatment and consult your dentist. They may recommend a different approach to minimize future irritation. Proper care ensures gum health is maintained throughout the whitening process.
Effectiveness and Results
The effectiveness of teeth whitening varies depending on several factors, including the type of treatment, the severity of the discoloration, and individual characteristics. It’s essential to have realistic expectations and understand what can be achieved with each method. Consulting with a dentist is crucial to discuss expectations and determine the most appropriate treatment for your needs. Understanding these factors helps individuals to set realistic goals and feel satisfied with the results of their whitening treatment. Each person’s experience may vary.
Factors Affecting Results
Several factors can affect the outcome of teeth whitening. The type and severity of the stains play a significant role. Extrinsic stains, caused by foods and drinks, are generally easier to remove than intrinsic stains, which are embedded within the tooth structure. Age, genetics, and the natural color of your teeth also influence the results. Some individuals may experience more dramatic whitening than others. Following the dentist’s instructions and maintaining good oral hygiene practices also contribute to the effectiveness of the treatment.
Realistic Expectations
It is important to have realistic expectations about the results of teeth whitening. While the procedure can significantly improve the appearance of your smile, it may not achieve perfect whiteness. Results can vary depending on the initial shade of your teeth and the type of treatment used. Discussing your expectations with your dentist before starting the process can help ensure that you are satisfied with the outcome. Understand that the process is about improvement, and setting achievable goals ensures a positive experience. Maintaining a positive outlook throughout the process will enhance your satisfaction.
