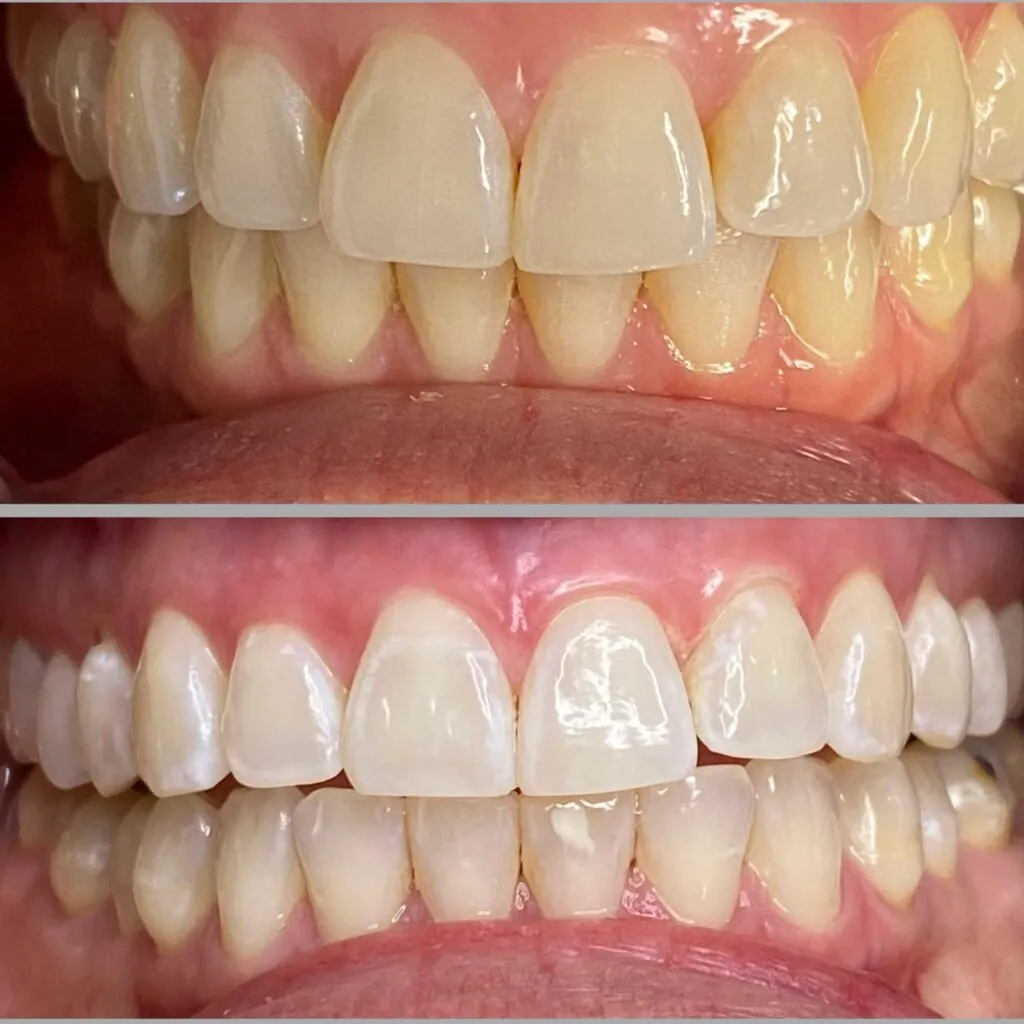
Understanding Arizona Teeth Whitening
Teeth whitening in Arizona is a popular cosmetic procedure designed to brighten your smile and boost your self-esteem. The goal is to remove stains and discoloration from your teeth, making them appear whiter and more radiant. This guide will provide you with a comprehensive overview of teeth whitening options available in Arizona, helping you understand the different methods, procedures, costs, and how to choose the right solution for your needs. Whether you’re looking to enhance your appearance for a special occasion or simply want a more confident smile, this guide will help you navigate the process.
Types of Teeth Whitening in Arizona
Arizona offers a variety of teeth whitening treatments to suit different needs, preferences, and budgets. These options range from professional in-office procedures performed by dentists to convenient at-home kits and readily available over-the-counter products. Understanding the characteristics of each type will empower you to make informed decisions and choose the method that best aligns with your goals and lifestyle. This section will explore these different categories, highlighting their benefits, drawbacks, and suitability for different individuals.
In-Office Teeth Whitening

In-office teeth whitening in Arizona provides the most immediate and dramatic results. Dentists use high-concentration bleaching agents, often activated by special lights or lasers, to accelerate the whitening process. This typically involves a single appointment lasting about an hour, making it a convenient choice for those seeking rapid improvement. Professional supervision ensures the safe and effective application of the treatment, minimizing potential risks. This method is ideal for individuals who want significant stain removal and a noticeably brighter smile quickly, offering the most visible results in the shortest time.
At-Home Teeth Whitening
At-home teeth whitening kits offer a flexible and cost-effective solution for whitening your teeth in Arizona. These kits typically include custom-fitted trays (made by your dentist) and a lower concentration bleaching gel. You wear the trays for a specified period, either daily or overnight, as directed by your dentist. While the results take longer to appear compared to in-office treatments, at-home kits provide the convenience of whitening on your schedule. It’s an excellent option for those who prefer a gradual approach and want to whiten their teeth at their convenience, typically fitting easily into daily routines.
Over-the-Counter Options
Over-the-counter (OTC) teeth whitening products are easily accessible at drugstores and supermarkets throughout Arizona. These include whitening toothpastes, strips, and mouthwashes. OTC products generally have lower concentrations of bleaching agents compared to professional treatments, which means the whitening effects are less dramatic and take longer to achieve. They can be effective for removing surface stains and maintaining a brighter smile. Remember to follow the product instructions carefully and consult your dentist if you have any concerns. These are a suitable starting point for those with mild discoloration or who want to maintain their whitening results.
Choosing the Right Whitening Method

Choosing the right teeth whitening method in Arizona requires careful consideration of your individual needs, preferences, and budget. Consider the degree of whitening you desire, the time you’re willing to commit, and your budget. Consulting with a dentist is strongly recommended to receive a professional assessment and guidance, and to choose the best option for your oral health and aesthetic goals. Discuss your goals and receive recommendations based on your unique oral health profile.
Factors to Consider
Several factors will influence your choice of a teeth whitening method in Arizona. The severity of your tooth discoloration is a key consideration. More severe staining may require more potent treatments. Your budget will significantly impact your choice, as in-office treatments are generally more expensive than at-home or over-the-counter options. The time commitment is also important; consider how much time you can dedicate to the whitening process. Finally, consider your sensitivity to dental procedures and the potential for side effects. Carefully evaluating these factors will help you select the most suitable teeth whitening method.
Consulting with a Dentist
Consulting an Arizona dentist before starting any teeth whitening treatment is crucial. A dentist can assess your oral health, identify any underlying issues that could affect the whitening process, and recommend the most appropriate treatment plan. They can also provide custom-fitted trays for at-home treatments, ensuring a better fit and more effective results. Professional guidance ensures that you are using the safest and most effective method and can minimize the risk of complications. Your dentist can also help set realistic expectations for your desired outcome.
Step-by-Step Guide to Arizona Teeth Whitening

Embarking on the journey to whiter teeth in Arizona involves following a structured process, regardless of the chosen method. From preparation to post-whitening care, each step is crucial to achieving the best results and maintaining a brighter smile. This step-by-step guide will help you navigate the entire process, providing clear instructions and valuable tips to make your teeth whitening experience successful, safe, and satisfying. Proper execution of each step will help you maximize the effectiveness of the treatment and minimize potential risks.
Preparing for the Procedure
Preparation is key to a successful teeth whitening experience in Arizona. For in-office treatments, your dentist will usually start with a thorough dental cleaning to remove plaque and tartar, ensuring the whitening agent can effectively penetrate the tooth enamel. They may also take pre-treatment photos to track your progress. If you’re using an at-home kit, your dentist will likely create custom-fitted trays and provide detailed instructions. Before beginning any whitening treatment, ensure your teeth and gums are healthy, addressing any existing dental issues first. Additionally, avoiding foods and drinks that can stain your teeth during the process will maximize the effectiveness of the treatment.
The Whitening Process
The whitening process varies depending on the chosen method. In-office whitening in Arizona involves the dentist applying a high-concentration whitening gel to your teeth and using a special light or laser to activate it. This procedure is often repeated in cycles and typically takes about an hour. At-home whitening involves applying whitening gel to custom-fitted trays and wearing them for the prescribed time daily or overnight. Over-the-counter products, such as strips, are applied directly to your teeth. It’s crucial to follow all instructions to the letter for both safety and effectiveness. Regular communication with your dentist during the process can address any concerns and help optimize your results.
Post-Whitening Care

After your teeth whitening treatment in Arizona, post-whitening care is essential for maintaining your results and ensuring your oral health. Avoid foods and drinks that can stain your teeth, such as coffee, tea, red wine, and dark-colored berries, for the first few days. Use a gentle toothpaste and avoid smoking. Continue with regular brushing, flossing, and dental check-ups. If you experience any sensitivity or discomfort, consult your dentist. Following these post-whitening care tips will help you enjoy a long-lasting, beautiful smile.
Maintaining Your White Smile
Maintaining your white smile after teeth whitening in Arizona requires a proactive approach. This involves making informed choices about your diet and lifestyle, practicing good oral hygiene, and attending regular dental check-ups. Following these guidelines will not only preserve your bright smile but also contribute to your overall oral health. A consistent commitment to these practices ensures you can continue to enjoy the benefits of your teeth whitening treatment. This commitment supports a bright, healthy smile for years to come.
Dietary Considerations
Dietary choices significantly impact the longevity of your teeth whitening results in Arizona. Foods and drinks high in staining agents can quickly diminish your brighter smile. Minimize consumption of coffee, tea, red wine, dark sodas, and heavily pigmented foods like berries and soy sauce. When consuming these items, rinse your mouth with water afterward or brush your teeth. A balanced diet rich in calcium and vitamins also supports healthy teeth and gums, contributing to a long-lasting, radiant smile.
Oral Hygiene Practices

Maintaining excellent oral hygiene is critical for keeping your teeth white and healthy in Arizona. Brush your teeth at least twice daily with a whitening toothpaste and floss daily to remove plaque and food particles. Consider using a mouthwash to further reduce bacteria and keep your breath fresh. Regular and thorough oral hygiene helps prevent stains from forming and keeps your smile bright. Proper oral hygiene plays a crucial role in overall health, preventing other dental issues and contributing to a confident smile.
Regular Dental Check-ups
Regular dental check-ups in Arizona are essential for maintaining your white smile and overall oral health. Your dentist can monitor your teeth for staining, decay, and other issues. They can also provide professional cleanings to remove plaque and tartar that brushing and flossing might miss. During check-ups, your dentist may recommend touch-up whitening treatments or offer advice on maintaining your brighter smile. Consistent dental care ensures that any issues are addressed promptly, allowing you to maintain a healthy, beautiful smile for years to come.
Potential Risks and Side Effects
While teeth whitening is generally safe, it’s essential to be aware of potential risks and side effects associated with the procedure in Arizona. Understanding these can help you make informed decisions and take appropriate precautions. It is important to discuss potential risks with your dentist to assess your individual risk factors. Being aware will allow you to experience a positive teeth whitening experience with the best possible outcome.
Sensitivity and Discomfort

Tooth sensitivity is a common side effect of teeth whitening treatments in Arizona. Many individuals experience temporary sensitivity to hot or cold foods and drinks during or after the whitening process. This sensitivity typically subsides within a few days of completing the treatment. Your dentist may recommend products, such as special toothpastes or fluoride treatments, to help alleviate sensitivity. If you experience significant discomfort, contact your dentist. They can adjust the treatment plan or suggest alternative methods to minimize the issue.
Gum Irritation
Gum irritation can occur during teeth whitening, particularly if the bleaching agent comes into contact with the gum tissue. This side effect is more common with in-office treatments. Symptoms may include redness, swelling, or soreness. Your dentist in Arizona will take precautions to protect your gums during the procedure, such as using a protective barrier. If gum irritation occurs, it usually resolves within a few days. Avoiding direct contact between the whitening agent and your gums and following post-treatment care instructions are crucial to minimizing this side effect.
Cost of Teeth Whitening in Arizona
The cost of teeth whitening in Arizona varies depending on the method chosen and the dentist’s fees. Understanding the different pricing structures and payment options is essential to making an informed decision. It is important to consider the type of whitening, the dentist’s experience, and your location when calculating the overall cost. Exploring available financing can help you find an affordable solution to achieve a brighter, more confident smile while remaining within your budget.
Average Costs

The average cost of teeth whitening in Arizona varies greatly depending on the chosen treatment. In-office whitening is typically the most expensive due to the professional expertise and immediate results. At-home whitening kits, often prescribed by a dentist, are generally more affordable than in-office treatments. Over-the-counter products, such as whitening strips and toothpastes, are the most budget-friendly. Costs can also depend on the dentist’s fees and the products used. Consulting with your dentist will allow you to receive an accurate cost estimate based on your needs.
Payment Options
Dentists in Arizona provide various payment options for teeth whitening procedures. These commonly include cash, credit cards, and payment plans. While teeth whitening is usually considered a cosmetic procedure and is typically not covered by dental insurance, it’s best to inquire about financing options. Discussing payment options with your dentist allows you to plan for the costs and choose the method best suited to your budget. Knowing the available payment alternatives supports the goal of achieving a whiter smile without unnecessary financial stress.
Finding a Qualified Dentist in Arizona
Choosing a qualified dentist in Arizona for teeth whitening is vital to ensuring safe and effective results. A qualified dentist possesses the expertise and experience to evaluate your oral health, recommend the most appropriate treatment plan, and perform the procedure safely. Researching and selecting a reputable dentist guarantees a positive experience and a beautiful, healthy smile. Take the time to find a dentist you trust and who prioritizes your oral health.
Checking Credentials
Verifying a dentist’s credentials is critical to ensuring their qualifications and experience. Check their license and confirm it is current and in good standing with the Arizona State Board of Dental Examiners. Look for dentists with additional training or certifications in cosmetic dentistry. Checking for these credentials provides confidence that the dentist is qualified and committed to providing high-quality care. This information is usually accessible on the Arizona State Board of Dental Examiners website.
Reading Reviews and Testimonials
Reading reviews and testimonials from other patients is a valuable way to assess a dentist’s reputation and the quality of their services. Online platforms, social media, and dental websites offer reviews from former patients. Pay attention to comments about the dentist’s professionalism, the results of their treatments, and the overall patient experience. These reviews can help gauge the dentist’s patient satisfaction level, level of care, and reliability. These insights will help you make an informed decision for your teeth whitening needs.
Conclusion
Teeth whitening in Arizona provides diverse methods to enhance your smile. By understanding these methods, you can make informed decisions to achieve your desired outcome. Consulting with a qualified Arizona dentist is essential to determining the best approach for your oral health and aesthetic goals. Following guidelines on preparation, the whitening process, and post-treatment care will help maximize results and maintain a brighter smile. With the right information and professional guidance, you can embark on your teeth whitening journey confidently, ensuring a healthy, radiant smile. Your commitment to oral health will significantly contribute to the lasting beauty of your smile.
