Understanding Affordable Teeth Whitening in Pretoria
Achieving a brighter, more confident smile doesn’t have to break the bank. Affordable teeth whitening options in Pretoria are readily available, offering various solutions to suit different budgets and preferences. This guide explores the landscape of teeth whitening, providing insights into procedures, cost considerations, and the best choices for residents of Pretoria looking to enhance their smiles without overspending.
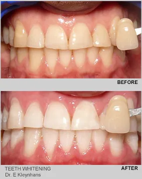
What is Teeth Whitening
Teeth whitening, also known as bleaching, is a cosmetic dental procedure designed to lighten the shade of your teeth. It works by using bleaching agents, such as hydrogen peroxide or carbamide peroxide, to remove stains and discoloration from the enamel and dentin, the inner layer of your teeth. The process involves breaking down the stain molecules, making your teeth appear whiter and brighter. The effectiveness of teeth whitening depends on the type of stains, the concentration of the bleaching agent, and the duration of the treatment.
Types of Teeth Whitening Procedures

Various teeth whitening procedures are available, each offering different levels of effectiveness and convenience. Professional in-office whitening, performed by a dentist, typically yields the most dramatic results in a single session. Take-home whitening kits, prescribed by a dentist, involve custom-fitted trays and a bleaching gel, allowing you to whiten your teeth at home over several weeks. Over-the-counter (OTC) whitening products, such as whitening strips, gels, and toothpastes, are readily accessible but may offer milder results.
Why Choose Affordable Teeth Whitening
Affordable teeth whitening makes a brighter smile accessible to everyone. It boosts self-esteem, improves your appearance, and can have a positive impact on social interactions. Whether you’re preparing for a special event, seeking to reverse the effects of aging, or simply want to enhance your natural beauty, affordable teeth whitening provides an effective and cost-conscious solution. Pretoria offers diverse options to suit varying budgets, ensuring that everyone can enjoy the benefits of a confident smile.
Top 7 Affordable Teeth Whitening Choices in Pretoria
Choice 1 Professional In-Office Whitening

Professional in-office whitening is a fast and effective way to brighten your teeth. Your dentist in Pretoria will apply a high-concentration bleaching agent to your teeth, often using a special light or laser to enhance the whitening process. This method typically delivers significant results in a single visit, making it ideal for those seeking immediate improvements. While the initial cost might be higher, the results and convenience often outweigh the expense for many people.
Benefits of In-Office Whitening
In-office whitening offers several advantages, including professional supervision to ensure safety and effectiveness, and the ability to achieve dramatic results quickly. Dentists can use stronger bleaching agents than those available over-the-counter. Additionally, dentists can address any underlying dental issues before whitening, such as cavities or gum disease, ensuring a healthy and successful outcome. The treatment is also often tailored to individual needs.
Cost Considerations
The cost of in-office whitening in Pretoria can vary depending on the dental practice, the specific whitening system used, and the complexity of your case. Prices typically range from moderate to higher end compared to other methods. However, many practices offer payment plans or financing options to make this procedure more accessible. It’s essential to inquire about the total cost upfront, including any follow-up appointments or maintenance treatments.
Choice 2 Take-Home Whitening Kits

Take-home whitening kits, prescribed and provided by your dentist in Pretoria, offer a convenient and cost-effective way to whiten your teeth at home. These kits include custom-fitted trays designed to fit your teeth perfectly and a bleaching gel with a lower concentration than that used in-office. This method allows for gradual whitening over several weeks, providing noticeable results with consistent use. They offer a balance between professional care and affordability.
How Take-Home Kits Work
Your dentist will take impressions of your teeth to create custom trays. You’ll then fill the trays with the whitening gel and wear them for a specified amount of time each day, usually for a few hours or overnight, as directed by your dentist. The bleaching gel works by penetrating the enamel and breaking down stain molecules. Regular use, as per your dentist’s instructions, will lead to a brighter smile. This method is generally less expensive than in-office treatments.
Pros and Cons
Pros include professional supervision, custom-fit trays for better comfort and effectiveness, and lower cost compared to in-office treatments. Cons include the time commitment required for wearing the trays, potential for tooth sensitivity, and the need for patient compliance. It’s important to follow your dentist’s instructions carefully to minimize risks and maximize results. Some people may find the process inconvenient, while others prefer the gradual, controlled approach.
Choice 3 Over-the-Counter Whitening Products

Over-the-counter (OTC) whitening products are readily available in Pretoria pharmacies and supermarkets, offering a convenient and affordable option for teeth whitening. These products include whitening strips, gels, toothpastes, and mouthwashes. They are generally less potent than professional treatments, making them safer for unsupervised use. They are best suited for mild staining and maintenance rather than significant discoloration.
Types of OTC Products
Whitening strips are thin, flexible strips coated with a whitening agent that you apply directly to your teeth. Whitening gels are applied with a brush or in a tray. Whitening toothpastes contain mild abrasives or chemicals to remove surface stains, and whitening mouthwashes can help maintain brightness. Each product has different instructions and recommended usage. Always follow the manufacturer’s guidelines to ensure safe and effective results. Many people use these products as part of a regular oral hygiene routine.
Effectiveness and Safety
OTC products are generally safe but may not provide the same dramatic results as professional treatments. They are most effective for removing surface stains and maintaining a bright smile. It’s essential to choose products that have been approved by relevant health authorities. Some people may experience temporary tooth sensitivity or gum irritation. Always follow the product instructions and consult a dentist if you have any concerns or pre-existing dental conditions.
Choice 4 Teeth Whitening with Dental Insurance

Some dental insurance plans in Pretoria may cover or partially cover teeth whitening procedures, especially if they are deemed medically necessary. Check your insurance policy carefully to understand the coverage details, including any limitations or exclusions. The extent of coverage varies depending on your plan and the specific treatment. Often, the insurance will cover the exam, cleaning, or other related procedures. The whitening procedure itself is rarely fully covered.
What Insurance Covers
Most dental insurance plans do not cover cosmetic procedures, including teeth whitening. However, in some cases, if the discoloration is related to a medical condition or injury, a portion of the cost might be covered. It’s important to contact your insurance provider to confirm the details of your coverage and any required pre-authorization. Always ask your dentist about the billing process to ensure that claims are submitted correctly.
Finding a Dentist
If your insurance plan covers teeth whitening, it’s important to find a dentist in Pretoria who is in-network with your insurance provider. Your insurance company can provide a list of participating dentists. You can also ask for recommendations from friends and family or read online reviews. Make sure to discuss your insurance coverage with the dentist’s office before scheduling any procedures to understand your out-of-pocket costs.
Choice 5 Affordable Teeth Whitening at Dental Schools

Dental schools in Pretoria offer affordable teeth whitening services as part of their training programs. These services are typically provided by dental students under the supervision of experienced faculty members. The cost is often significantly lower than that of private dental practices, making it a budget-friendly option. This can be an excellent option for those seeking professional care at a reduced price.
Advantages of Dental Schools
The primary advantage of getting teeth whitening at a dental school is the lower cost. Additionally, students are closely supervised by experienced professionals, ensuring high-quality care. Dental schools often use the latest technologies and techniques. It can also be a great way to contribute to the training of future dentists. Patients can feel confident knowing that the procedures are performed under strict supervision and adhere to established protocols.
Things to Consider
Appointments at dental schools may take longer than at private practices because students need to consult with instructors. Scheduling flexibility may also be limited. Always confirm the credentials of the supervising faculty. Inquire about the specific whitening procedures offered and the materials used. Be prepared for a longer appointment time and a thorough examination before the procedure begins. Consider the time commitment and the overall experience.
Choice 6 Teeth Whitening Specials and Promotions

Many dental practices in Pretoria offer teeth whitening specials and promotions to attract new patients and provide affordable options. These deals may include discounts on in-office whitening, reduced prices on take-home kits, or bundled packages. Keeping an eye on promotions can help you save money on your teeth whitening treatment. Check for seasonal offers, holiday specials, or new patient discounts to maximize your savings.
Finding Deals
Look for deals by checking the websites of local dental practices, following their social media pages, or signing up for their newsletters. Some practices partner with online deal sites to offer special promotions. Check community websites or local advertising platforms. Be sure to inquire about any promotions when you make your appointment. Always understand the terms and conditions of the offer before committing.
Comparing Offers
When comparing different offers, consider not only the price but also the type of whitening procedure, the quality of materials used, and the experience of the dental practice. Read reviews from other patients to get a sense of the quality of service. Compare the cost per treatment, the expected results, and any additional fees. Make sure to compare apples to apples, considering all the factors that influence the value of the procedure. Check if the deals include follow-up appointments or maintenance treatments.
Choice 7 Home Remedies for Teeth Whitening
Various home remedies claim to whiten teeth, using ingredients like baking soda, lemon juice, or activated charcoal. These remedies are often touted as natural and affordable alternatives to professional treatments. While some may provide temporary results, it is essential to be cautious and consider the potential risks before trying them. The effectiveness varies and they may not be suitable for everyone.
Effectiveness and Safety of Home Remedies
Baking soda can act as a mild abrasive and may help remove surface stains, but it can also erode enamel with overuse. Lemon juice is acidic and can erode enamel, leading to tooth sensitivity and increased risk of decay. Activated charcoal may remove surface stains through absorption, but it is not proven to whiten teeth and can be abrasive. Before trying home remedies, it’s best to consult your dentist about the potential risks.
When to See a Dentist
Before starting any teeth whitening treatment, it’s always best to consult with a dentist in Pretoria. They can assess your oral health, identify the cause of your tooth discoloration, and recommend the most appropriate and safe whitening option for your specific needs. Dentists can also address any underlying dental issues, such as cavities or gum disease, ensuring that teeth whitening is safe and effective. Regular dental check-ups and professional cleanings are crucial for maintaining good oral health. If you experience any sensitivity or irritation, see your dentist immediately.
Finding affordable teeth whitening in Pretoria is possible with various options available to suit your budget and preferences. From professional in-office treatments to over-the-counter products and dental school programs, you can enhance your smile without overspending. Always consult with a dentist to determine the best and safest whitening method for your needs. By exploring the available options and considering your priorities, you can achieve a brighter, more confident smile that fits your budget.
